Get news alerts

Stroke survivor credits Banner Wyoming Medical Center with saving his life

“This place is such a blessing” says rural rancher

CASPER, WYO (Nov. 18, 2022) --  At 76 years old, Ron Titterington stays busy with his log hauling business and maintaining 40 acres on his ranch outside of Pavillion, Wyoming.  Last month while working on his backhoe in his yard with his daughter, Shawna, things changed dramatically

Shawna saw her father’s face was sagging and he couldn’t use his left side.  She and her mother knew he was having a stroke. 

An ambulance arrived and transported Ron about 27 miles to Riverton while Shawna and Ron’s wife of 54 years, Bonnie, followed close behind. 

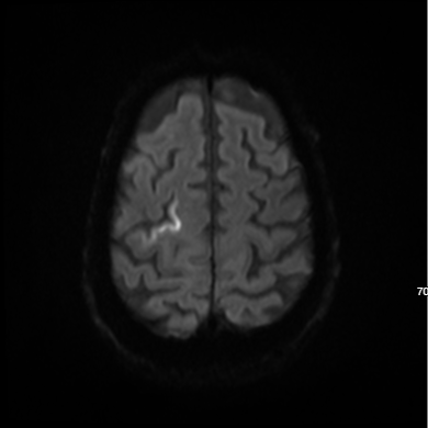
Brad Oliverson, D.O., was the emergency physician on shift and contacted David Wheeler, M.D., the on-call neurologist and medical director of Banner Wyoming Medical Center’s stroke program. Dr. Wheeler ordered an immediate stroke protocol CT scan to detect the amount of blood flowing into Ron’s brain as well as show the specific anatomy of his arteries. The hospital also administered intravenous tPA – or tissue plasminogen activator, a protein used to break apart blood clots and, hopefully, restore blood flow to the brain.

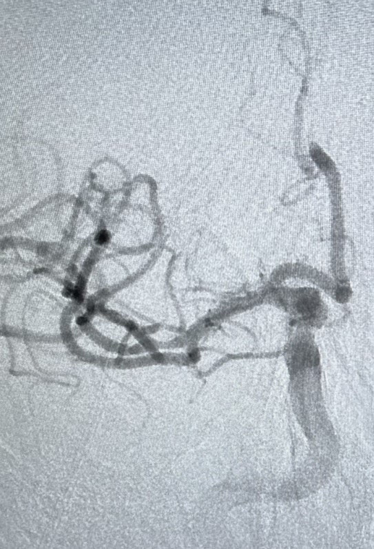
Then Ron was flighted to Banner Wyoming Medical Center.  When he arrived, Dr. Wheeler along with interventional radiologist Eric Cubin, M.D., determined that Ron’s stroke was not yet complete and that he was a good candidate for mechanical clot retrieval. Interventional radiologists make this type of stroke treatment possible at Banner Wyoming Medical Center.  Fellow interventional radiologist Ryan Bonifield, D.O., came over to perform the procedure. 

Fortunately for Ron, Banner Wyoming Medical Center’s multidisciplinary team is experienced in springing into action for severe strokes such as the one he suffered. Inside the interventional radiology suite, Dr. Bonifield accessed the common femoral artery near Ron’s groin and inserted a small guide wire covered with a vascular sheath. Guided by real-time X-ray imaging, Dr. Bonifield snaked the guide wire through Ron’s arteries and around a complex path to the artery in his neck. He then passed smaller tubes into the blocked artery in Ron’s brain and released a special device to grab the clot and remove it. After three passes, he retrieved the clot and restored blood flow to Ron’s brain. 

“It’s life-changing stuff, you guys have a heck of a team here in Casper,” said Dr. Bonifield, who moved to Casper with his family in July.  “Time is brain and having the skilled staff to quickly maneuver the patient is critical.”

Ron and Bonnie are nothing but grateful. “If they hadn’t made that quick decision, I don’t think I’d be here,” Ron said from his hospital bed.  “I credit all of the people here at this hospital for where I am right now.”

This is Ron’s second stroke.  He suffered a mild stroke in 2015 and only spent a day in the hospital before going back to work.  This time, though, he and Bonnie both think it’s time to retire.  After a week at Banner Wyoming Medical Center, he spent about a week in the rehabilitation hospital before returning home a couple of weeks ago. 

“It’s safe to say that without serious intervention, he would have been severely disabled with a poor prognosis,” said Dr. Wheeler.  Not so long ago, “stroke” often meant long-term disability or at least long, hard-fought recoveries for survivors and their families. It is still the fourth-leading cause of death and the leading cause of long-term disability in the United States. 

Cutting-edge stroke treatment techniques, including clot retrieval, are used at Banner Wyoming Medical Center around the clock, every day of the year. The frequency of these procedures is increasing as the public becomes more aware of the need to seek immediate treatment for neurological symptoms and as the referring physicians in Wyoming become aware of the success in treating acute stroke.

In addition to Dr. Wheeler, Dr. Bonifield, Dr. Oliverson and Dr. Cubin, Ron’s care team included Dr. Matthew Chynoweth, Dr. Alan Wicks, medical student Nicole Hinds, along with a full multidisciplinary team from across the hospital. 

“This place is such a blessing,” said Ron. 

Banner Wyoming Medical Center's Primary Stroke Center is the state's only center certified by the Joint Commission and recognized with the American Stroke Association’s highest level of recognition for fast, expert stroke care –Target: Stroke Honor Roll – Elite Plus status. If you or a loved show any signs of stroke, call 911 immediately. Remember: In case of stroke, act F.A.S.T.

·        F – Face: Ask the person to smile. Look to see if one side droops or the face is not symmetrical.

·        A – Arms: Have the person raise both arms in front of them at shoulder height. Watch to see if one arm drops lower than the other.

·        S – Speech: Ask the person a question or to repeat a phrase back to you. Listen for slurred or garbled speech or signs the person doesn’t understand what you have asked of them.

·        T – Time: If any of the three signs is present, time is of the essence. Call 911 immediately. Do not attempt to drive to the hospital yourself. Emergency medical responders will begin tests on the way to the hospital.

 

About Banner Health
Banner Health is one of the largest, secular nonprofit health care systems in the country. In addition to 30 acute-care hospitals, Banner also operates an academic medicine division, Banner – University Medicine, and Banner MD Anderson Cancer Center, a partnership with one of the world’s leading cancer programs, MD Anderson Cancer Center. Banner’s array of services includes a health-insurance division, employed physician groups, outpatient surgery centers, urgent care locations, home care and hospice services, retail pharmacies, stand-alone imaging centers, physical therapy and rehabilitation, behavioral health services, a research division and a nursing registry. To make health care easier, 100% of Banner-employed doctors are available for virtual visits, and Banner operates a free 24/7 nurse line for health questions or concerns. Patients may also reserve spots at Banner Urgent Care locations and can book appointments online with many Banner-employed doctors. Headquartered in Arizona, Banner Health also has locations in California, Colorado, Nebraska, Nevada and Wyoming. For more information, visit bannerhealth.com.

Wyoming Medical Center

For further information contact us at: [email protected]

Download assets from the story

Untitled
Untitled
Not available
Not available
Untitled
Untitled
Not available
Not available
Untitled
Untitled
Not available
Not available
Untitled
Untitled
Not available
Not available
Untitled
Untitled
Not available
Not available